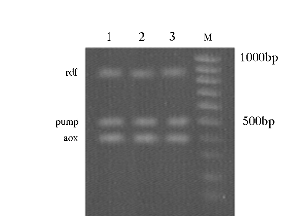
Fig. 6. Electrophoresis of RTPCR products of aox
and pump expression patterns in wheat seedlings under high temperature
stress (39 C). Lanes 1 - high-temperature stress for 24 h; 2
- high-temperature stress for 4 h; 3 - control; and 4 - 100-1,000-bp
marker.
