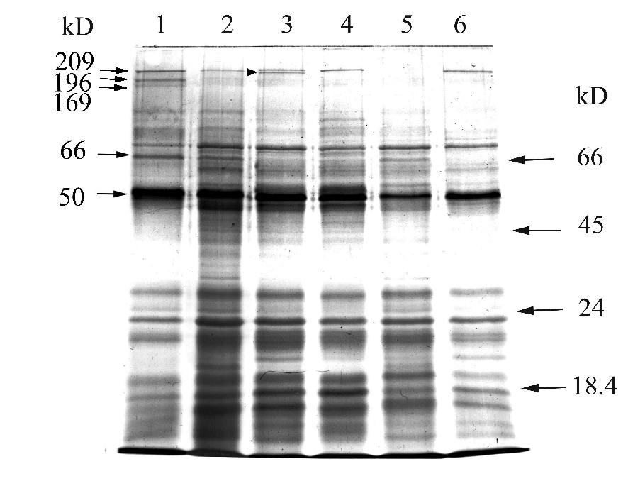
Fig. 21. Thermostable proteins from cold acclimated (7 days under 4 C) seedlings of T. aestivum (1), T. spelta (2), T. zhukovskyi (3), T. timopheevii (4), T. durum (5), and T. monococcum (6). COR-proteins indicated in the left by arrows. Molecular masses of corresponding COR-proteins are shown near the left arrows. COR-protein 204 kD in T. zhukovskyi was indicated by a triangle. Molecular masses of standard proteins are indicated at the right.
